Bệnh viện Đa khoa tỉnh Bắc Giang: Cứu sống bệnh nhân bị đạn súng hơi bắn thấu thận
Mặc dù Pháp luật đã cấm việc sở hữu, mua bán các loại súng hơi, súng săn, nhưng thực tế không ít người vẫn có hành vi mua bán, tàng trữ, sử dụng súng săn với mục đích để săn bắn vi phạm quy định của pháp luật. Tuy nhiên trong thực tế, hậu quả của việc sử dụng súng hơi không chỉ dừng lại ở mục đích săn bắn mà còn có thể gây thiệt hại về tính mạng, sức khỏe con người do lỗi cố ý hoặc vô ý của người sử dụng. Gần đây, bệnh viện Đa khoa tỉnh Bắc Giang vừa cứu sống thành công nam thanh viên vô tình bị đạn súng hơi bắn thấu thận.
Hồi 20h ngày 17/6/2022, bệnh viện Đa khoa tỉnh Bắc Giang tiếp nhận trường hợp nam bệnh nhân N.V.H, 16 tuổi, địa chỉ tại Hộ Đáp, Lục Ngạn, Bắc Giang trong tình trạng khó thở nhẹ, đau nhiều vùng thắt lưng trái với vết thương hở 0,5cmX0,5cm đang chảy máu. Được biết, trước khi nhập viện khoảng 2 giờ, H cùng bạn xem thanh niên trong xóm bắn chim trời. Chẳng may, súng bóp cò khi xả quay về đã vô tình găm trúng ngực H, khiến H gục ngay xuống đất. Bệnh nhân nhanh chóng được đưa đến Bệnh viện Đa khoa tỉnh cấp cứu.
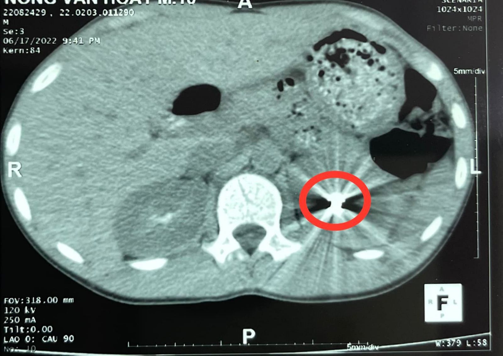
Sau khi được siêu âm, chụp CT bụng có cản quang đã phát hiện dị vật hình viên đạn trong thận trái, bệnh nhân được chuyển đến Khoa Ngoại thận tiết niệu nam học. Tại đây, các bác sĩ đã nhanh chóng hội chẩn và kết luận: bệnh nhân có vết thương thận trái cho đạn bắn, chỉ định mổ cấp cứu lấy dị vật và khâu bảo tồn thận. Kíp mổ do BsCKII Đoàn Tiến Dương, Trưởng khoa Ngoại thận tiết niệu nam học mổ chính. Ekip phẫu thuật đã thực hiện rạch vết thương thận, lấy viên đạn súng hơi ra ngoài, khâu cầm máu vết thương, làm sạch khoang quang thận đồng thời truyền 500ml máu trong cả quá trình phẫu thuật. Sau 1 giờ đồng hồ, ca phẫu thuật đã thành công, sinh tồn bệnh nhân ổn định, đầu đạn chì kích thước 0,4cmX0.7cm đã được lấy ra ngoài.
Hiện tại, bệnh nhân tỉnh táo, vết mổ không chảy máu, các chỉ số mạch và huyết áp ổn định. Ngày thứ 3 sau mổ, bệnh nhân chỉ còn đau nhẹ, đã có thể đi lại và ăn uống bình thường. Dự kiến, 3 đến 5 ngày tới, bệnh nhân có thể xuất viện về nhà.
Bs.CKII Đoàn Tiến Dương, Trưởng khoa Ngoại Thận TNNH cho biết:” Vết thương vùng thận là vết thương nguy hiểm. Bởi thận là tạng đặc, giàu mạch máu; khi bị tổn thương nếu xử lý cấp cứu không kịp thời sẽ dẫn đến mất máu nhiều, gây nguy hiểm đến tính mạng.”
Qua đây, bệnh viện đưa ra khuyến cáo người dân không mua bán, tàng trữ, sử dụng súng săn, súng hơi dưới mọi hình thức. Nếu gặp phải vết thương vùng bụng ngực do bị đạn bắn, cần nhanh chóng đưa người bệnh đến cơ sở y tế uy tín có đầy đủ trang thiết bị hiện đại và ekip bác sĩ có chuyên môn cao, giàu kinh nghiệm để được cấp cứu kịp thời.
*Một số hình ảnh trong quá trình điều trị:






