Bệnh viện Đa khoa tỉnh Bắc Giang: phẫu thuật lấy máu tụ dưới màng cứng cứu sống người bệnh bị tai nạn giao thông
Mới đây, bệnh viện Đa khoa tỉnh Bắc Giang vừa phẫu thuật thành công lấy máu tụ dưới màng cứng cho 01 bệnh nhân bị tai nạn giao thông. Đây là ca bệnh gặp nhiều khó khăn, trắc trở trong quá trình điều trị khi người bệnh có nhiều bệnh nền kèm theo như tăng huyết áp, nhồi máu cơ tim cũ, bệnh thận giai đoạn cuối.
Vào khoảng đầu tháng 7, bệnh viện Đa khoa tỉnh Bắc Giang có tiếp nhận bệnh nhân T.V.H , 47 tuổi, địa chỉ tại xã Bảo Sơn, huyện Lục Nam, Bắc Giang trong tình trạng co giật, hôn mê do tai nạn giao thông. Theo lời người nhà kể lại, ngày 5/7, ông H tự chạy xe từ nhà đến Bệnh viện Đa khoa tỉnh để chạy thận nhân tạo thì va chạm với một xe khác khiến ông H ngã mạnh, đập đầu xuống đường và bất tỉnh tại chỗ. Ngay sau đó, người bệnh được gia đình đưa đến Bệnh viện Đa khoa tỉnh Bắc Giang cấp cứu và chuyển vào Khoa Ngoại thần kinh để tiếp tục điều trị.
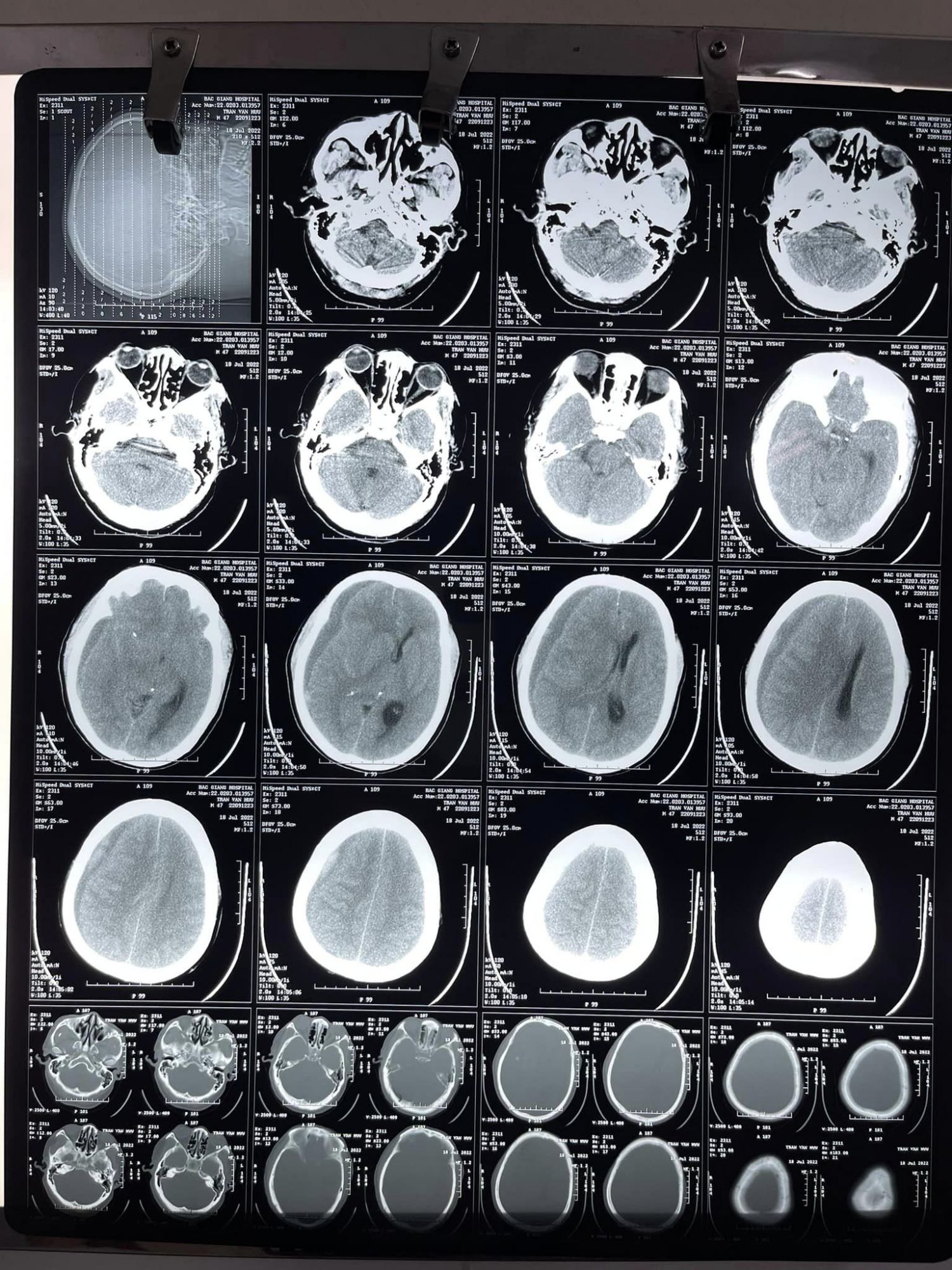
Tại đây, sau khi được bác sĩ thăm khám và làm các cận lâm sàng, ông H được chẩn đoán chấn thương sọ não, tụ máu dưới màng cứng não bán cầu phải trên nền bệnh nhân tăng huyết áp và đã chạy thận nhân tạo chu kỳ 14 năm. Nhận thấy đây là một ca bệnh khó, phức tạp, các bác sĩ đã tổ chức hội chẩn liên chuyên khoa: Ngoại thần kinh, Nội tim mạch, Nội thận TNLM, Hồi sức tích cực- chống độc, Phẫu thuật gây mê – hồi sức và đi đến thống nhất tiếp tục điều trị tích cực cho bệnh nhân. Sau vài ngày điều trị, nhận thấy tình trạng người bệnh tiến triển nặng, khối máu tụ to lên gây ra sự chèn ép lên não và đe dọa tính mạng của người bệnh nếu không được can thiệp kịp thời. Ngay lập tức, một cuộc hội chẩn mới giữa các chuyên khoa liên quan đã diễn ra và nhanh chóng, bệnh nhân có chỉ định phẫu thuật lấy máu tụ dưới màng cứng bán cầu não (P). Kíp mổ gồm Bs.CKII Mạc Hoàng Dương - Trưởng khoa Ngoại thần kinh, mổ chính cùng Ths. Bs Dương Văn Tuyên. Ca mổ gặp khó khăn khi người bệnh có nguy cơ rối loạn đông máu, diện đông máu rộng, yêu cầu người phẫu thuật viên phải thao tác nhanh, chính xác, khéo léo không để chạm vào mạch máu ở vỏ não. Sau 2 giờ đồng hồ, bằng kinh nghiệm, đôi bàn tay khéo léo và sự tập trung cao độ, kíp mổ đã cố gắng lấy tối đa máu tụ trong màng não, cứu sống người bệnh. Chỉ 1 tuần sau mổ, tình trạng người bệnh tốt lên nhanh chóng, vết mổ khô, liền tốt, kết quả chụp CT scaner sọ não kiểm tra sau mổ tốt. Sau 10 ngày phẫu thuật, bệnh nhân đã ổn định, trở lại sinh hoạt bình thường, được các bác sĩ cho xuất viện về nhà và tái khám theo hẹn.
Theo Bs.CKII Mạc Hoàng Dương, trưởng khoa Ngoại thần kinh cho biết: “đây là ca bệnh gặp nhiều khó khăn, trắc trở do có bệnh nền kèm theo. Mặc dù vậy, tập thể cán bộ, y bác sĩ khoa Ngoại thần kinh rất cố gắng, nỗ lực đến cùng để cứu sống người bệnh. Điều đặc biệt ở ca bệnh này còn ở chỗ, người bệnh là bệnh nhân thận giai đoạn cuối. Trong quá trình điều trị, cứ cách 1 ngày, điều dưỡng khoa Ngoại thần kinh lại phải đưa bệnh nhân sang khoa Nội thận TNLM để chạy thận nhân tạo 1 lần.”
Qua trường hợp trên, bệnh viện đưa ra lời khuyến cáo: Tất cả người bệnh chạy thận chu kỳ, không nên tự ý đi lại khi không có người nhà đi cùng để hạn chế tối đa những tai nạn không mong muốn xảy ra.





Nguồn: Phòng CTXH


